
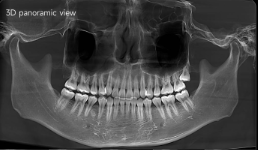
CBCT pada Penatalaksanaan Cleft Lip and Palate (Bibir Sumbing)
Cleft lip and palate (bibir dan langit-langit sumbing) unilateral (CLPU) adalah kelainan kongenital di mana terdapat kegagalan penyatuan jaringan bibir dan palatum pada satu sisi.
SDG 9: Industry, Innovation and Infrastructure

Cleft lip and palate (bibir dan langit-langit sumbing) unilateral (CLPU) adalah kelainan kongenital di mana terdapat kegagalan penyatuan jaringan bibir dan palatum pada satu sisi.

Bone graft sering digunakan dalam kedokteran gigi maksilofasial untuk memperbaiki defek tulang setelah kejadian seperti kista, trauma, tumor, atau kehilangan gigi. Keberhasilan graft sangat dipengaruhi

Radiografi lateral cephalometric adalah salah satu metode utama dalam ortodonti untuk menilai hubungan antar struktur rahang dan wajah. Dengan analisis sudut-fasial seperti model Downs, dokter

Pendidikan Jarak Jauh (PJJ) UGM adalah bentuk kuliah yang memanfaatkan teknologi informasi agar mahasiswa bisa belajar dari mana saja tanpa harus hadir secara fisik di

Sebanyak 25 siswa-siswi didampingi dua guru dari SMA Nasima Semarang mengunjungi FKG UGM dalam rangka memberikan perluasan wawasan bagi siswa siswi SMA Nasima khususnya kelas

Pertemuan hari ke dua, membahas pembentukan dan manfaat dari sebuah pusat kolaborasi penelitian, menyoroti perannya dalam memfasilitasi akses ke pendanaan penelitian dan alat-alat. Peserta menekankan

Pusat Kolaborasi Riset BRIN – UGM 13 Okotber 2025 Fakultas Kedokteran Gigi Universitas Gadjah Mada (FKG UGM) bersama Pusat Kolaborasi Riset (PKR) Badan Riset Inovasi

Bagi sebagian masyarakat, dua kata yang paling menakutkan di ruang praktik dokter gigi adalah “cabut gigi” dan “perawatan akar.” Banyak yang menunda datang ke dokter

Workshop drg. Hendargo Agung Pribadi, Sp.KG di FKG UGM mengajak memahami makna mendalam dari perawatan endodontik yang presisi dan manusiawi Bagi sebagian orang, gigi yang

Fibrous dysplasia adalah kelainan jaringan tulang jinak di mana jaringan fibrosa menggantikan jaringan tulang normal, mengakibatkan deformitas, penebalan tulang, dan perubahan fungsi. Di daerah maksilofasial,
Latest News
Belajar Menyelamatkan Gigi, Belajar Memahami Kehidupan
Penting! 3 Hal Utama Dalam Perencanaan Pembangunan Gedung
Faculty of Dentistry, Gadjah Mada University